uniboard.ch uniboard.ch Registrieren
Du studierst, aber hast noch keinen User-Account<br /> auf dem uniboard.ch?

Du studierst, aber hast noch keinen User-Account
auf dem uniboard.ch?

Registrieren Kein/e Student/in? Probleme bei der Registrierung?
uniboard.ch Downloads Studium Universität Zürich (UZH) Philosophische Fakultät UZH Aufbaustudium Psychologie UZH - Allgemeine & Kognitive Psychologie & Kognitive Neurowissenschaften Kognitive Neurowissenschaften FS 24 Kognitive Neurowissenschaften FS 24

Kognitive Neurowissenschaften FS 24

Kognitive Neurowissenschaften FS 24
Semester
FS24
Kategorie
Zusammenfassung
Uploader
Anonym
Autor
RoyalMovie,
Hinzugefügt
12.02.2025
Dateigrösse
16.02 MB
Downloads
306
Datei herunterladen

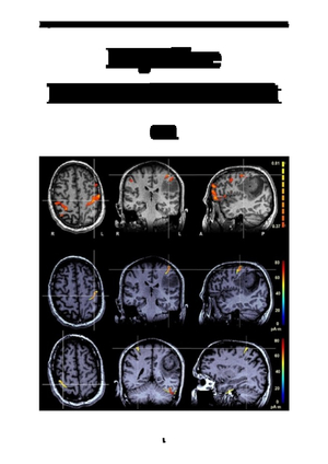
Zusammenfassung (.docx) «Kognitive Neurowissenschaften» aus dem FS 2024 bei Prof. Dr. Sauseng.
Sie deckt alle wichtigen Aspekte der Vorlesung ab - ich konnte zumindest an der Prüfung alles gut beantworten

LG und viel Erfolg